カテゴリー:
どのくらい白くなる?ホワイトニング体験
こんにちは!歯科医師の岩本です。
これまで「歯を白くしたい!その原因と効果的な対処法とは?」 「ホームホワイトニングとオフィスホワイトニング、どっちがいいの?」の記事で歯の黄ばみの原因やホワイトニングの種類に関してお話してきました。
この記事を読まれている方には「ホワイトニングに興味はあるけど、実際どのくらい白くなるんだろう?」と思われている方、多いのではないでしょうか。
そこで今回は、当院スタッフに協力してもらい、なまらホワイトニングの実際の変化を撮影しました。施術前後の変化をご紹介します。
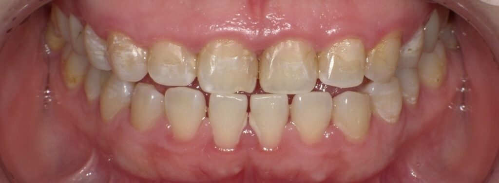
初回実施前の口腔内です。

普段ジャスミン茶をよく飲むそうです。ジャスミン茶にはタンニンが含まれており、着色の原因になります。(コーヒー・紅茶や緑茶に比べたら少なめです。)
なまらホワイトニング1回目実施後の口腔内写真です。

全体的なくすみがとれてワントーン明るくなった印象です。
一方でもともと歯に白濁(ホワイトスポット)がある方は白濁が少し目立つように見えることがあります。また、レジン(歯科用プラスチック)で詰め物をしている部分は、ご自身の歯と比べると色の変化がほとんどないため、境目がわかりやすくなることもあります。
そして今回は実験的に、下の前歯に歯石を残した状態でホワイトニングを行いました。
ホワイトニング前ではあまり目立たなかった歯石も、歯が白くなることでかえって目立ってしまうことがお分かりいただけるかと思います。汚れや歯石が残ったままだと、薬剤の浸透や効果にも影響してしまいます。
そのため、実際の施術では必ずクリーニングを行ってからホワイトニングを実施しています。
このあと、セットになっているホームホワイトニングを10日間実施してもらいました。
また、着色しやすい食べ物や飲み物は極力避け、そういうものを飲食した場合はなるべくすぐに歯を磨くか口をゆすぐように注意してもらいました。
ホームホワイトニング後の口腔内写真です。

ご自宅でのケアを継続して行うことで、さらに透明感がアップしました。
ホワイトニングを受けたあとの白い歯、とっても気持ちがいいですよね。
一度の施術で「もうこれで十分!」と感じられる方もいらっしゃいます。
ただ、歯はどうしても日々の食事や生活習慣で少しずつ色が戻ってしまいます。
いわゆる「後戻り」といって、コーヒーやお茶、赤ワインなどの色素の影響を受けやすいんです。
だからこそ、定期的なホワイトニングで白さをキープすることができます。
特に2回目を初回から一カ月以内に行うことで効果が長続きするのでおすすめしています。
初回実施から24日後に2回目のホワイトニングを実施しました。
2回目施術後の口腔内です。
(少し写真の角度が違って比較しにくくてすみません)

さらに透明感が出て、白さがしっかり維持されています。
初回実施前の写真と比較すると、より変化が分かりやすいと思います。


この後はホワイトニング専用の歯磨き粉を使用し、白さを保つケアもあわせて行ってもらう予定です。
実際に症例写真を見ることで
- 1回でもしっかり白さを実感できる
- ホームホワイトニングを組み合わせると、より自然な透明感に
- 定期的に続けることで、白さが長持ちする
ということがお分かりいただけたかなと思います。
※ただし、効果の出方には個人差があります。
今後、もう一つのオフィスホワイトニング「TiON」でも症例写真をお見せできたらなと考えていますのでお待ちくださいね♪
自分も白くなるのかな?と気になる方は、ぜひお気軽にご相談ください😊
