あなたの美しい笑顔を生み出す

もともと歯が黄色い方、加齢により変色が起こっている場合などはクリーニングだと綺麗にならないことがあります。そのようなケースでは、薬剤を用いて、削らずに歯を白くするホワイトニングが効果的です。ホワイトニングはご本人の歯の白さ以上にトーンを上げることが期待できます。
ホワイトニングは
こんな方におすすめです
- 歯の黄ばみが気になる方
- 喫煙をされていたり、コーヒーをよく飲んだりして、歯が汚れていると感じている方
- 人と会ったり、人前で話すことの多い方
- 口元に自信を持てるよう、自然で美しい歯に変えていきたいとお考えの方
虫歯や歯周病がある場合には、先に治療を行います。
ホワイトニングは薬剤を使って歯を白くするので、虫歯や歯周病がある場合、歯や歯ぐきにしみる症状が出ることがあります。そのため当院では、虫歯や歯周病の治療を先に行ってから、ホワイトニングの施術を受けるように提案しています。手早く歯を白くしたいと考える方もいらっしゃるでしょうが、歯の美しさは歯や歯ぐきの健康があってこそ引き立つものです。そのため治療を優先することをご理解ください。
当院のホワイトニングの種類
ホワイトニングには、「オフィスホワイトニング」と「ホームホワイトニング」という2つの施術方法があります。
当院では「オフィスホワイトニングのみ」のものと、オフィスホワイトニングとホームホワイトニングがセットになった「新デュアルホワイトニング」の2種類のプランをご用意しています。ご自身に合った施術をお選びください。
オフィスホワイトニング(TiON)

歯科医院で完結するホワイトニングです。歯科医師や歯科衛生士が処置するので、ホームホワイトニングに比べ、高濃度の薬剤を利用できるのが特徴です。また、レーザー光を照射し、歯の表面に塗布した薬剤を活性化させるため、スピーディーに歯を白くする効果が期待できます。
- 治療期間/回数
- 1週間/1回~2回
-
メリット
- 1回の施術でも、ホワイトニング効果を得やすいです
- 必要に応じて歯のクリーニングと同時に対応できます
- 処置時に何か異常を覚えた時も適切な処置ができます
-
デメリット
- ホームホワイトニングに比べ、患者様によっては料金を割高に感じる場合があります
- 歯の白さを保つには、繰り返しの来院が必要になります
- 薬剤を使用する際、痛みを感じたり、沁みたりする場合があります
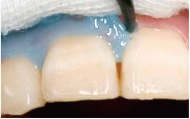
治療の流れ(TiONの場合)
-
Flow01
カウンセリング

どのくらい白くしたいか、ご希望の期間や費用などをヒアリングします。
-
Flow02
お口の状態の確認
(歯の色の確認)
歯石やむし歯の有無などのチェックとホワイトニング前の歯の色の確認を行います。
-
Flow03
歯面清掃

歯の表面の汚れを除去します
-
Flow04
歯ぐきの保護

ホワイトニングの薬剤がつかない
ように歯ぐきに保護剤を塗布します -
Flow05
ホワイトニング材の塗布

-
Flow06
光照射

専用の機械で歯の表面に光を
照射します(8~15分程度) -
Flow07
塗布・照射・除去をさらに
2回繰り返す
-
Flow08
保護剤の除去
歯面清掃
-
Flow09
ホワイトニング後の色の確認

なまらホワイトニング

佐賀県で取り扱っているのは当院だけです。
院内で光を20分あててホワイトニングをした後にそのままお家で継続してホームホワイトニングできるホワイトニングペンをセットにしたものです。
既存のホワイトニング(TiON)より薬品の強度は下がりますが、その分TiONよりしみにくく、治療時間も短くお値段も抑えられるため、お気軽に受けていただくことができます。
反応には個人差があり、1回で満足のいく白さになる方もいらっしゃれば何回か回数が必要な方もいらっしゃいます。まずはご相談ください。
料金表
| オフィスホワイトニング(TiON) | ¥33,000(税込み) (2回セット) |
|---|---|
| なまらホワイトニング | ¥9,800(税込み) |
インプラントのよくある質問
Q.TiONとなまらはどっちがいいですか?
患者さんの好みや考えによってどちらが向いているのかは変わってきます。比較表を作ったので、参考にしてください。
| TiONホワイトニング | なまらホワイトニング | |
|---|---|---|
| 料金(税込み) | 33,000円(2回セット) | 9,800円(1回+ホーム付き) |
| 施術内容 | 歯科医院で光照射によるオフィスホワイトニング(チェアタイム1時間半) | 歯科医院で光照射によるオフィスホワイトニング(チェアタイム30分)+ホームホワイトニング10日分 |
| 白さの傾向 | 白さを早く実感できる | 自然で透明感のある仕上がり |
| 痛み・しみにくさ | 比較的出にくい | しみにくい/知覚過敏でもOK |
| 年齢条件 | 20歳以上(永久歯の成熟後) | 12歳以上(永久歯が生えそろっていれば可能) |
| 実施場所 | 歯科医院 | 歯科医院+自宅 |
| 向いている人 | ・短期間ですぐ白くしたい方 ・家でのホワイトニングが面倒な方 |
・低コストで試したい方 ・一回の治療時間を短く済ませたい方 |
Q.1回のホワイトニングでどれくらい白くなりますか?
ホワイトニングの効果は個人差があり、施術前に明確にどの程度白くなるかを判断することは困難です。
オフィスホワイトニングは、即効性の高い施術法です。 1回の施術である程度歯の色を明るくすることが可能といえます。
実際のなまらの症例をブログに掲載していますので、参考にしてください。
(TiONの症例は後ほど掲載予定です。)
Q.ホワイトニングは痛いですか?
痛みがない方がほとんどです。
ただ、お口の状態によって稀に痛みが生じる場合があります。
ホワイトニングで痛みを感じるときの原因は、以下の通りです。
虫歯・歯周病、薬剤による知覚過敏、歯茎への刺激、歯にヒビが入っている
これらの状態であると痛みやしみたりすることがあります。
また、ホームホワイトニングと比較して、オフィスホワイトニングの方が薬剤による知覚過敏が出やすい傾向があります。
Q.一度白くなった歯はどのくらい長持ちしますか?どのくらいの頻度でホワイトニングしたらいいですか?
ホワイトニングで得た歯の白さは永久的ではありません。
個人差はありますが、徐々に色戻りしていき、平均して6か月くらいで再着色が気になってくる方が多いです。また、オフィスホワイトニングとホームホワイトニングで持続する期間は異なります。オフィスホワイトニングは1回の施術で白くなりますが、後戻りが起きやすく、ホームホワイトニングは期間と時間をかけて白くした分、後戻りは緩やかに起こります。
歯は飲食などの日常生活によって徐々に元の色に戻っていきます。ホワイトニング直後の24時間以内は、特に着色しやすいので注意が必要です。
まずは着色汚れ(ステイン)が歯に沈着する前にしっかりとケアすることで、後戻りを軽減できます。着色汚れを除去する歯磨き粉や、歯科医院での定期的なクリーニングをすることで、沈着を防ぐことができます。
そして、着色しやすい食生活を見直しましょう。ホワイトニングで白くなった歯が元の色へと戻るのは、普段の食生活が大きく関わっています。着色しやすい食べ物や飲み物を好んでいる場合は、それを少し見直すだけでも、後戻りを軽減させる助けになります。
また、効果を長続きさせるために当院では1度目の施術から1カ月以内での2回目の施術をお勧めしています。その後は、色の変化に応じて3~6ヶ月ごとにメンテナンスとして施術を行うことで歯の色を維持・持続させていきます。
